Please note that the images presented on this page are the property of our praxis. The pictures cannot be used or published without written permission.

Teeth whitening

before » after

     
Whitening of a tooth after root canal treatment

before » after

     
Aesthetic retoration

before » after

     
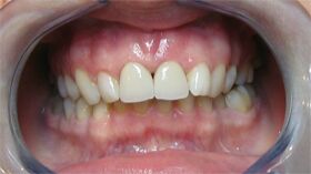
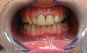
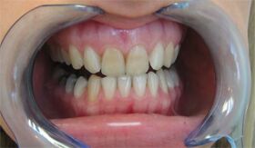
Complex aesthetic retoration

before » after

     

'Sunrise' porcelain covered crowns:

 

before » after