Barázdazárás
A barázdazárás egy teljesen fájdalommentes, hatékony, biztonságos és relatív olcsó módja a gyermekkori fogszuvasodás megelőzésének. Az eljárással részben megelőzhető ill. nagymértékben csökkenthető a gyermekkori fogszuvasodás gyakorisága. A barázdazáró egy vékony, műanyag réteg, amelyet az őrlőfogak rágófelszínére helyezve megakadályozza az ételmaradékok és a baktériumok bejutását a barázdák mélyére, és ezáltal védelmet nyújtanak a fogszuvasodással szemben.
Miért hasznos a barázdazárás?
Az őrlőfogak rágófelszínén található barázdák egyedileg változó mélységűek, a mély barázdák alján gyakran mikroszkopikus repedések találhatóak, amelyek keskenyebbek, mint a fogkefe sörtéi ezért nem tarthatók tisztán. A barázdazárt felületek ezzel szemben simák és ezáltal könnyen tisztán tarthatók.
Mely fogaknál javasolt a barázdazárás?
Általában elmondható, hogy a kis- és nagyőrlő fogaknál alkalmazzuk a barázdazárást. Elsősorban a mélyen barázdált fogak esetében bír nagy jelentőséggel, alkalmazásának szükségességét a fogorvosi vizsgálat eredménye dönti el.
Mikor célszerű alkalmazni a barázdazárást?
A barázdazárást egészséges fogon, lehetőleg a fog áttörését követő hat hónapon belül célszerű alkalmazni, tehát 6 éves kortól folyamatosan 18 éves korig. Félévenkénti ellenőrzéseken mindig javasolt az újonnan előtört fogak barázdazárása ill. a már meglévő barázdazárások folyamatos ellenőrzése és szükség esetén cseréje.
A tejfogakat barázdazárjuk-e?
Általában nem. Kivételt képeznek azok az esetek, akik fogszuvasodás szempontjából veszélyeztetett csoportba tartoznak. Ilyen esetekben szóba jöhet a tej molárisok barázdazárása.
Mennyi ideig tart a beavatkozás?
A beavatkozás aránylag egyszerű, foganként mindössze néhány percet vesz igénybe, a gyermek számára nem megterhelő.
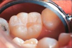
Hogyan történik a barázdazárás?
Első lépésben a fogak megtisztításra kerülnek, majd leszárítjuk őket és ezt követően egy enyhe savval felületét felérdesítjük. Ezt követi a barázdazáró anyag ecsettel történő felhelyezése. Az anyag maga úgy képzelhető el, mint egy folyékony tömőanyag, amely egyenletesen elterülve feltölti a barázdát. Következő lépésként a felhelyezett barázdazáró anyagot speciális, kék fényű lámpával keményítjük meg. Utolsó lépésként ellenőrzésre kerül, hogy a barázdazárás a fogsor záródását nem akadályozza-e. Amennyiben felmerül ennek gyanúja, úgy a megfelelő helyen csiszolással elvékonyítjuk a felvitt anyagot, majd polírozzuk.
A barázdazárás egy
komplex prevenciós program része kell, hogy legyen, hiszen egymagában nem nyújt teljes biztonságot a fogszuvasodással szemben.
Amennyiben volna még kérdése, az
Orvos válaszol menüpont segítségével kérdezhet, vagy ha személyesen tenné fel kérdéseit, jelentkezzen be hozzánk egy ingyenes konzultációra.
